SMILE MAKEOVER
SMILE MAKEOVER
Here at Epsom Smiles, our dentists specialise in smile makeovers, ranging from subtle changes such as single veneers to more drastic alterations like Invisalign. We always consider the long term health of your teeth and goals, which is why we plan each treatment with careful care and consideration.
We know that having a beautiful smile can boost your confidence and improve the health of your teeth and gums, which is why Epsom Smiles is proud to provide a multitude of smile makeover options. If you are looking for quick and simple results, treatments such as composite bonding can transform your smile within just one session.
With results that will last for years to come, we aim to give you your dream smile whilst ensuring your teeth are as healthy as possible.
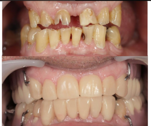
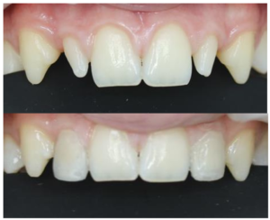
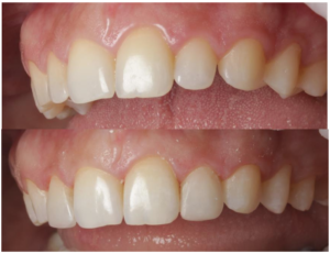
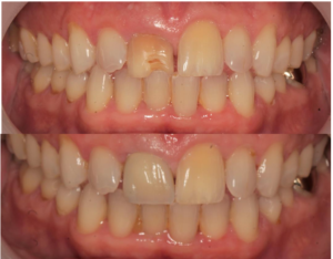
See some of our smile makeovers










SMILE MAKEOVERS Faqs
A smile makeover is a personalised treatment plan that may include whitening, bonding, veneers, crowns, orthodontics, or gum reshaping to improve the overall appearance of your smile.
Treatment time depends on the procedures involved. Some patients complete their makeover in one or two visits, while more complex plans with Invisalign or implants may take several months.
Most cosmetic treatments involve minimal discomfort. Many options, like whitening and bonding, are completely non-invasive. For more advanced procedures, local anaesthetic ensures a comfortable experience.
During your consultation, we assess your teeth, gums, bite, and facial aesthetics before designing a plan tailored to your goals. You’ll see previews of your results so you know exactly what to expect.

